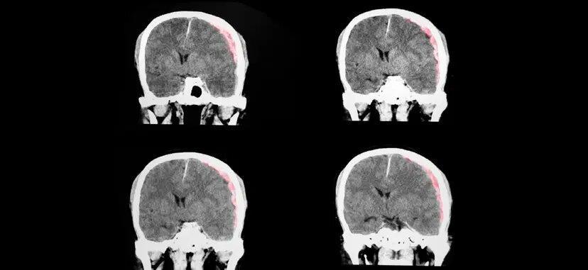
ضربه مغزی و خطر زوال عقل برای سالمندانهمشهری آنلاین - 1404-07-16 23:29:59پزشکی و سلامتهمشهری آنلاینلینک اصلی خبر اخبار مرتبط جذب نیروی پرستاری باید به بهترین شکل انجام شودخبرگزاری مهر - 1404-07-16 ارتباط تغییرات اقلیمی با حدود ۱۰۰ هزار مرگ ناشی از موج گرما در سال۲۰۲۳خبرگزاری مهر - 1404-07-15 تشریح وضعیت شایع ترین سرطان در ایرانخبرگزاری مهر - 1404-07-15